Invisalign® in Hackensack, NJ

When crooked or crowded teeth undermine your confidence and prevent you from sharing your natural smile, Invisalign clear aligners provide the virtually invisible solution you need to achieve perfectly straight teeth without the embarrassment of traditional metal braces. This revolutionary orthodontic system transforms smiles discreetly, allowing you to maintain your professional appearance and social confidence throughout the entire straightening process.

Our cosmetic dentistry practice offers Invisalign treatment to patients throughout Hackensack, Teaneck, Maywood, and surrounding northern New Jersey communities who want to achieve straighter teeth through the most advanced clear aligner technology available. With custom-designed aligners created specifically for your unique smile, Invisalign delivers predictable results while fitting seamlessly into your busy lifestyle, whether you’re a working professional, student, or active parent.

How Invisalign Clear Aligners Work

Invisalign utilizes cutting-edge 3D computer imaging technology to map your teeth’s current positions and design a precise treatment plan showing exactly how your teeth will move into their ideal alignment. Each set of custom-made clear aligners applies gentle, controlled pressure to gradually shift your teeth into proper position over time, with new aligners worn approximately every two weeks as your teeth progressively straighten.

The treatment process begins with detailed digital impressions captured using 3D imaging technology, eliminating the mess and discomfort of traditional dental molds. According to the American Association of Orthodontics, most patients wear clear aligners for 20-22 hours per day, only removing them for meals and oral hygiene, which allows for normal eating, drinking, brushing, and flossing throughout treatment.

Benefits of Choosing Invisalign Treatment

Invisalign’s virtually invisible appearance allows you to straighten your teeth without drawing unwanted attention to your orthodontic treatment, making it the preferred choice for adults and teens who want to maintain their natural appearance during the smile transformation process. The smooth, comfortable plastic material eliminates the mouth irritation, cuts, and discomfort commonly associated with metal brackets and wires found in traditional braces.

The removable design means you can continue enjoying all your favorite foods without dietary restrictions while maintaining excellent oral hygiene throughout treatment. Unlike fixed braces, which can trap food particles and make cleaning difficult, Invisalign aligners allow for normal brushing and flossing, reducing the risk of tooth decay and gum disease during orthodontic treatment.

Conditions Treated with Invisalign

Invisalign effectively corrects a wide range of orthodontic issues, including overcrowded teeth where insufficient jaw space causes overlapping or twisted tooth positioning. The system also addresses spacing problems, such as gaps between teeth that may have developed due to missing teeth, undersized teeth, or natural variations in tooth and jaw size relationships.

Bite irregularities respond well to Invisalign treatment, including overbites where upper teeth overlap the lower teeth excessively, underbites where the lower jaw extends beyond the upper teeth, and crossbites where some upper teeth sit inside the lower teeth when biting down. Invisalign can also treat open bites where the front teeth don’t touch when the back teeth are closed, though complex skeletal issues may require alternative treatment approaches.

Ready to Experience the Roman Dental Arts Difference?

For over 25 years, our father-daughter team has provided compassionate, personalized dental care to Bergen County families. Let us help you achieve the healthy, confident smile you deserve.

The Invisalign Treatment Process

Your Invisalign journey begins with a comprehensive consultation where we evaluate your orthodontic needs, discuss your lifestyle requirements, and determine whether Invisalign aligns with your treatment goals and expectations. We use advanced digital scanning technology to create precise 3D models of your teeth, which form the foundation for your custom treatment plan and aligner series.

The ClinCheck treatment simulation shows you a virtual preview of how your teeth will move throughout treatment and what your final results may look like before you even begin wearing your first set of aligners. Regular progress appointments, typically scheduled every six to eight weeks, allow us to monitor your tooth movement, ensure proper aligner fit, and address any questions or concerns throughout your treatment journey.

Caring for Your Invisalign Aligners

Proper aligner care ensures optimal treatment results and maintains good oral hygiene throughout your Invisalign experience. Clean your aligners daily using lukewarm water and the Invisalign cleaning system or a gentle antibacterial soap, avoiding hot water which can warp the plastic material and compromise the precise fit.

Always brush and floss your teeth before reinserting your aligners to prevent bacterial buildup and maintain fresh breath throughout the day. Store your aligners in their protective case when eating or drinking anything other than water, and keep your previous set as backup in case your current aligners are lost or damaged during treatment.

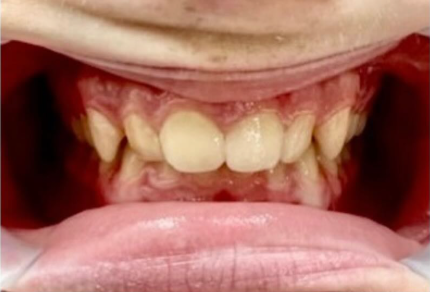
Up-close photo of our patient's teeth before invisalign treatment

Before Invisalign

Before beginning treatment, this patient struggled with overlapping teeth that made cleaning difficult and affected their appearance. They chose clear aligners for a virtually invisible orthodontic solution.

Up-close photo of our patient's teeth after invisalign treatment

After Invisalign

After completing their personalized clear aligner treatment plan, this patient achieved the straight, healthy smile they always wanted. The results speak for themselves, and their confidence has soared.

Choose Roman Dental Arts for Invisalign Treatment

Roman Dental Arts combines advanced Invisalign technology with personalized care to deliver exceptional results for patients throughout Hackensack and northern New Jersey. Dr. Donald Roman, our practice founder, and Dr. Alissa Roman bring decades of combined dental experience to every case, ensuring your Invisalign treatment plan addresses your unique needs while supporting your long-term oral health goals as part of our father-daughter team approach to comprehensive dental care.

Our Hackensack location provides convenient access for patients from Teaneck, Maywood, Lodi, and surrounding communities, with flexible appointment scheduling designed to accommodate your busy lifestyle. We work with most PPO insurance plans, including our in-network relationships with Delta Dental PPO and Cigna PPO, and offer financing options to make Invisalign treatment accessible for families seeking straighter, healthier smiles. Contact our office today to schedule your consultation and discover how Invisalign can help you achieve the confident, beautiful smile you deserve through comfortable, convenient, and virtually invisible treatment.

Frequently Asked Questions About Invisalign Treatment

We know you probably have questions about clear aligner treatment, and we’re here to provide honest, straightforward answers. Below are some of the most common questions we hear from patients considering clear aligners.

How long does treatment take?

Treatment time varies depending on the complexity of your case, but most patients complete their treatment in 12 to 18 months. During your consultation, we’ll provide you with an estimated timeline based on your specific needs.

While you may feel some pressure when you switch to a new set of aligners, most patients find clear aligners comfortable to wear. Any discomfort typically subsides within a day or two as your teeth adjust.

You’ll visit our Hackensack office approximately every 6 to 8 weeks for progress checks. These appointments are typically brief and allow us to ensure your treatment is progressing as planned.

No, you should remove your aligners before eating or drinking anything other than water. This prevents damage to the aligners and allows you to enjoy your meals comfortably.

Rinse your aligners with lukewarm water and gently brush them with a soft toothbrush. Avoid using hot water, which can warp the plastic. It’s also important to brush and floss your teeth before putting your aligners back in.

Some patients experience a slight lisp for the first few days of treatment as they adjust to wearing aligners. This typically resolves quickly as you become accustomed to speaking with them.

Contact our office right away if you lose an aligner. Depending on where you are in your treatment, we may advise you to move to your next set of aligners or continue wearing your previous set until we can provide a replacement.

Your new smile can last a lifetime with proper retention. After completing your aligner treatment, you’ll need to wear a retainer as directed to prevent your teeth from gradually shifting back to their original positions.

We typically recommend waiting until after your aligner treatment is complete to whiten your teeth. This ensures even results across all surfaces of your teeth.

Contact Us
We are here to assist all of our patient’s. If you have any questions or concerns call our office Today.

Meet Your Dentists

Picture of Dr. Donald J. Roman, DMD, MAGD

Dr. Donald J. Roman, DMD, MAGD

Dr. Donald Roman has served the Hackensack community for over 38 years, bringing exceptional skill and compassionate care to every patient. He holds prestigious credentials including his Master of the Academy of General Dentistry (MAGD), Fellowship in the Academy of General Dentistry, and Associate Fellowship in the American Academy of Implant Dentistry. Named one of the "Top Dentists in America" for over 11 years, Dr. Donald is also deeply involved in the community as Past President of the local Rotary Club and active member of UNICO, Lions Club, and the Hackensack Chamber of Commerce.

Picture of Dr. Alissa M. Roman, DDS

Dr. Alissa M. Roman, DDS

Dr. Alissa Roman offers a perspective unlike any other dentist—she literally grew up in this practice. After spending her childhood at the office and working as a patient specialist and dental assistant, she pursued her dental degree at the University of Buffalo, earning her Masters in Biology from Montclair State University along the way. Dr. Alissa is a Certified Laser Provider through the Academy of Laser Dentistry and a Certified SureSmile Provider, bringing advanced training and a lifelong understanding of compassionate family care to every appointment.

Why Choose Roman Dental Arts?

Experience You Can Trust

When you choose Roman Dental Arts, you benefit from a unique father-daughter partnership with decades of combined experience. Dr. Donald Roman brings more than 38 years of practice to every treatment, holding prestigious credentials including his Master of the Academy of General Dentistry (MAGD), Fellowship in the Academy of General Dentistry, and Associate Fellowship in the American Academy of Implant Dentistry. Dr. Alissa Roman offers a perspective unlike any other dentist—she literally grew up in this practice, spending her childhood at the office before working as a patient specialist and dental assistant. Today, she brings laser certification from the Academy of Laser Dentistry and a master’s degree in biology from Montclair State University to her compassionate care. Together, this father-daughter team combines clinical excellence with a deep commitment to treating every patient like family.

Advanced Technology and Techniques

We believe exceptional dental care requires both skilled practitioners and state-of-the-art technology. Our practice features CEREC same-day crowns, allowing us to design, create, and place your restoration in a single visit. Digital X-rays provide detailed images with significantly less radiation exposure than traditional methods. Both Dr. Donald and Dr. Alissa are Certified SureSmile Providers, offering advanced clear aligner treatment with precise digital planning. Dr. Alissa’s laser certification enables minimally invasive procedures with faster healing times and greater comfort. Dr. Donald’s training in the Chao Pinhole Surgical Technique provides patients with a scalpel-free, suture-free option for treating gum recession. This combination of advanced equipment and specialized training allows us to deliver efficient, comfortable, and effective care tailored to your needs.

A Family Practice with Deep Community Roots

Roman Dental Arts is more than a dental practice—it’s a Hackensack institution built on family values and community connection. Dr. Alissa’s face is familiar to our long-time patients because she spent many days at the office as an infant while her parents provided care. This unique background gives her an innate understanding of what compassionate family dentistry truly means. Our commitment extends beyond our office walls through active involvement in organizations like Rotary (Dr. Donald served as Past President of River Edge-Oradell-New Milford Rotary Club), UNICO, Lions Club, and the Hackensack Chamber of Commerce. For over 20 years, we’ve supported local charities, children’s sports, and community initiatives because Hackensack isn’t just where we work—it’s where we live, raise our families, and build lasting relationships with our neighbors. When you visit Roman Dental Arts, you’re not just another appointment; you’re part of our extended family.

Our Latest 5-Star Reviews

Our Family Cares for Your Family

Our services are guided by a compassionate and respectful approach to family dental care, where we take time to understand your goals, wishes, and concerns so we can tailor treatment to your unique smile. That’s why we not only take time to understand your individual needs, but also work with you to find financing solutions that fit your budget.

No Insurance? No Problem!

Join our exclusive in-house membership plan for comprehensive dental care.

Includes cleanings, exams & discounts

We Work With Your Insurance

In-network with major providers and we accept ALL PPO plans for out-of-network benefits.

Delta-Dental-PPO-Premier
Cigna-PPO

+ All PPO Plans Welcome

Flexible Financing

Make your dental care affordable with convenient monthly payments.

0% interest options available

Visit Us in Hackensack, NJ

Roman Dental Arts is conveniently located in the heart of Hackensack, serving families throughout Bergen County for over 20 years. Our father-daughter dental team, Dr. Donald Roman and Dr. Alissa Roman, are proud members of the local community, actively involved in Unico, Rotary, Lions Club, and the Hackensack Chamber of Commerce. We’re committed to providing compassionate, personalized care to our neighbors.  

Ready to schedule your visit?

Related Procedures

Skip to content